歯周病

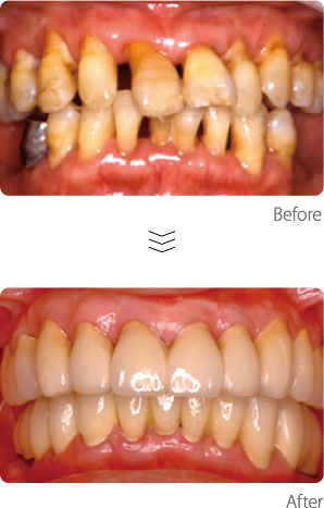
歯周病治療〈Case1〉

歯周病により、骨が溶けて歯ぐきが下がり、歯がグラグラになっていました。原因である細菌を除去して歯ぐきの炎症を改善し、被せ物によりグラグラの歯を補強、見た目の回復を図りました。抜けてしまっていた奥歯には、インプラント治療も行っています。

歯周病治療〈Case2〉

歯ぐきの内部の根の表面で細菌が繁殖し、周囲の骨が失われつつありました。原因である細菌を除去し、骨を再生する処置を施しました。骨が無くなってしまい黒く写っている部分に、新しい骨が再生している事がわかります。

元のページに戻る

ページの上へ戻る