◎検査
口の中の問題点を明らかにして、その原因を突き止めるためには、様々な検査が必要です。この検査結果をもとに、治療方法と治療計画を検討します。
当クリニックで行っている検査の一例です。


【CT検査】
レントゲン写真では分からない骨や粘膜などの、立体像や断面像を詳細に調べることが出来ます。インプラント治療の骨の診査だけでなく、顎骨や粘膜の病変の診査にも大きく役立ちます。

【レントゲン検査(デンタル/パノラマ)】
顎の骨の全体像が分かるパノラマX線写真や、1本1本の歯の詳細が分かるデンタルX線写真を用いた、レントゲン検査を行います。むし歯の存在や、歯周病による骨の溶け具合、骨の中の病変などを詳しく調べます。

【口腔内写真】
口の中の写真撮影は、現在の状況や治療の効果、病状の進行をしっかりと把握し、問題点を見逃さないためにとても重要です。撮影した画像は、右のような説明用資料としても使用します。

【模型診査】
模型にて、かみ合わせや歯の並び、見た目の状態を検査します。
【その他の検査】
〈細菌検査〉
むし歯や歯周病は、細菌による感染症だということが明らかになっています。口の中の特定の病源菌の有無を調べ、病状やリスク判定に関する検査をします。
〈歯周病組織検査〉
歯周病により失われた骨や組織の量を実測して、進行具合を検査します。
◎むし歯治療
子供から大人まで幅広い年齢層で出来てしまうむし歯。当院では、なるべく歯を削らない、神経を抜かない治療を心がけるだけでなく、むし歯の取り残しが無い様に、むし歯だけが染まる特殊な染色液を使用して治療にあたります。
その中でも、当院が積極的に行っている治療が、金属を使わない、コンポジットレジン(歯の色をした白くて硬い樹脂)を用いたむし歯治療です。

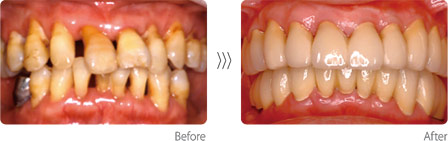
◎歯周病
成人の8割以上がかかってしまうのが歯周病です。重度の歯周病になると、殺菌剤の使用やハブラシでの掃除、歯医者さんでの歯石取りでは歯周病の進行は止められません。当院では、失われた骨の再生手術といった積極的なアプローチを含め、歯周病の専門治療を行います。

◎根管治療
細菌に侵された、根の中の神経の管(根管)を綺麗にする治療です。根管治療はすべての歯の基礎工事部分にあたります。表からは見えないところですが、この大事な根管治療を怠ると、被せ物だけを綺麗にしても歯はすぐ駄目になってしまいます。

◎審美
口元が気になって、うまく笑えないという方もいらっしゃるのではないでしょうか。
美しい微笑み、淀みの無いおしゃべり、満面の笑顔。誰にも負けない素敵な口元で、人生を楽しんでいただきたい。見た目を改善するのも、我々歯科医の大事な仕事です。

◎インプラント
歯を無くさないのが何よりも大事ですが、不幸にして歯が無くなってしまった場合、画期的な治療となるのが、インプラント治療です。
現在のインプラントは大きく進歩を遂げ、昔と比べて成功率も大幅に上がっただけでなく、見た目も格段に良くなり、歯ぐきがやせていても多くの場合で治療可能になりました。

◎義歯
歯が無くなってからの治療は、なにもインプラント治療だけではありません。昔ながらの入れ歯治療も、咬めるようになるのに大事な治療法です。長年の歴史がある当院では、培ってきた経験と技術を駆使して、入れ歯治療も真剣に取り組んでいます。

◎各種メインテナンスプラン
歯が悪くならない様に、そして長持ちさせるためには、未然の予防が肝要です。当院では予防のためのメインテナンスプランを御用意しております。
〈メインテナンスプログラム〉
- ①Normal PMTC
- 歯石除去、プラーク除去、ポケット内洗浄、ステイン(ヤニ・着色)除去、歯面研磨
- ②Full PMTC
- 歯石除去、プラーク除去、ポケット内洗浄、ステイン(ヤニ・着色)除去、歯面研磨
フッ素塗布 orミネラルパック、歯肉マッサージ - ③ステイン除去
- ステイン(ヤニ・着色)除去、歯面研磨
- ④定期健診
- 歯周組織検査、歯石除去、レントゲン撮影